Your slogan here

Cara Penggunaan Obat Herpes De Nature atau Obat Dompo

Obat Herpes De Nature / Obat Dompo

Cara Penggunaan Obat Herpes De Nature atau Obat Dompo - Jika Anda, saudara, teman atau kerabat anda sedang mencari harga obat herpes De Nature atau obat dompo, cara penggunaan obat herpes De Nature atau obat dompo, testimoni obat erpes De Nature atau obat dompo, produk De Nature untuk mengobati herpes atau dompo, dan khasiat obat herpes De Nature atau obat dompo. Semua jawabannya hanya di sini website resmi De Nature dan Anda bisa menghubungi Customer Service kami melalui salah satu kontak resmi De Nature di Telp/SMS : 081215407069 WhatsApp : 081215407069
Cara Penggunaan Obat Herpes De Nature atau Obat Dompo

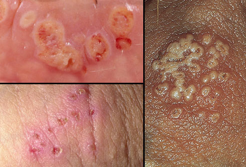
Pengertian Herpes

Cara Penggunaan Obat Herpes De Nature atau Obat Dompo - Penyakit Herpes adalah penyakit kulit yang disebabkan oleh infeksi virus dan bakteri, dimana virus dan bakteri penyebab herpes itulah yang membedakan jenis penyakit herpes yang diderita, karena ada beberapa virus yang dapat mengakibatkan penyakit herpes diantaranya adalah virus varicella zoster dan virus herpes simpleks atau biasa dikenal dengan virus HSV.

Klasifikasi Herpes berdasarkan Penyebabnya

  1. Herpes Genitali adalah infeksi yang disebabkan oleh Virus Herpes Simplex (terutama HSV=Herpes Simplex Virus type II), ditandai dengan timbulnya vesikula (vesikel = peninggian kulit berbatas tegas dengan diameter kurang dari 1 cm dan dapat pecah menimbulkan infeksi seperti koreng kecil) pada permukaan mukosa kulit (mukokutaneus), bergerombol di atas dasar kulit yang berwarna kemerahan. 
  2. Herpes zoster (nama lain: shingles atau cacar ular cacar api) adalah penyakit yang disebabkan oleh virus varicella-zoster. Setelah seseorang menderita cacar air, virus varicella-zoster akan menetap dalam kondisi dorman (tidak aktif atau laten) pada satu atau lebih ganglia (pusat saraf) posterior. Apabila seseorang mengalami penurunan imunitas seluler maka virus tersebut dapat aktif kembali dan menyebar melalui saraf tepi ke kulit sehingga menimbulkan penyakit herpes zoster. Di kulit, virus akan memperbanyak diri (multiplikasi) dan membentuk bintil-bintil kecil berwarna merah, berisi cairan, dan menggembung pada daerah sekitar kulit yang dilalui virus tersebut. Herper zoster cenderung menyerang orang lanjut usia dan penderita penyakit imunosupresif (sistem imun lemah) seperti penderita AIDS, leukemia, lupus, dan limfoma.

Gejala Herpes

Cara Penggunaan Obat Herpes De Nature atau Obat Dompo - Gejala dari infeksi virus ini umumnya ditandai dengan ruam kulit merah berkelompok yang bisa disertai dengan rasa sakit atau perih dan panas seperti terbakar. Keluhan biasanya timbul pada satu sisi. Pada sebagian orang, rasa sakit yang dirasakan bisa sangat intens.

Ruam pada herpes kulit kemudian akan tampak berupa lenting-lenting berisi cairan yang mudah pecah. Pada awalnya ruam dapat terasa gatal, namun kemudian menjadi nyeri.

Selain itu, gejala lain yang dapat dirasakan pada herpes kulit yaitu demam, sakit kepala, kelelahan, mati rasa atau kesemutan. Selain itu, mungkin timbul nyeri saat tersentuh, atau terpapar panas cahaya matahari.
Herpes kulit dapat terjadi pada siapa saja yang pernah menderita cacar air. Namun, beberapa faktor yang membuat orang berisiko terkena herpes kulit di antaranya adalah:
  • Berusia 50 tahun atau lebih
  • Menderita penyakit yang melemahkan sistem kekebalan tubuh Anda, seperti HIV/AIDS atau kanker.
  • Sedang menjalani pengobatan, misalnya terapi radiasi atau kemoterapi. Sebab pengobatan tersebut dapat menurunkan daya tahan tubuh terhadap infeksi dan bisa saja memicu timbulnya herpes kulit.
  • Mengonsumsi obat tertentu yang dapat melemahkan sistem kekebalan tubuh, seperti obat antiradang golongan kortikosteroid.

Pengobatan Herpes

Cara Penggunaan Obat Herpes De Nature atau Obat Dompo - Banyak cara yang dapat dilakukan untuk mengobati Herpes, namun alangkah lebih baiknya lagi kami sarankan agar anda mengkonsumsi obat herbal yang sudah terbukti mampu menyembuhkan berbagai macam penyakit salah satunya Herpes.

Obat Herbal De Nature Terdiri dari :
  • 1 Botol Kapsul Gang Jie @50 Kapsul
  • 1 Botol Kapsul Gho Siah @50 Kapsul
  • 1 Botol Kapsul Pipeca @50 Kapsul
  • 1 Botol Kapsul BD (Bersih Darah) @50 Kapsul
  • 1 Tub Salep Djie

Obat Herpes De Nature

Cara Penggunaan Obat Herpes De Nature atau Obat Dompo
Dosis / Cara Penggunaan :
  • Kapsul Gang Jie 3x Sehari 2 Kapsul Sebelum Makan
  • Kapsul Gho Siah 3x Sehari 2 Kapsul Sebelum Makan
  • Kapsul Pipeca 3x Sehari 2 Kapsul Sebelum Makan
  • Kapsul BD 3x Sehari 2 Kapsul Sebelum Makan
  • Salep Djie Dioleskan Pada Bagian Tubuh Yang Terinfeksi Setelah Mandi dan Sebelum Tidur Secara Rutin dan Teratur
Harga Obat :
  • Rp 950.000 Rp 700.000
Khasiat : Mengobati Herpes, Menghilangkan Virus HSV Penyebab Herpes Sehingga Penyakit Herpes Tidak Akan Kambuh Lagi, Membersihkan dan Meregenerasi Sel Darah Merah.

Untuk katalog produk obat lainnya silahkan klik tautan berikut -> Obat De Nature

Cara Pemesanan

 

 
Lakukan pemesanan produk melalui SMS/WhatsApp
 
SMS/TELP : 081215407069
WhatsApp : 081215407069
 
Selanjutnya kami akan membalas pesan anda dengan nominal total + ongkos kirim serta nomor rekening untuk pembayaran

Tidak Perlu Ragu !!!
 
Cara Penggunaan Obat Herpes De Nature atau Obat Dompo
 
Terima Kasih Atas Kepercayaan Anda Membeli Produk Berkualitas Kami
 

Cara Penggunaan Obat Herpes De Nature atau Obat Dompo

Cara Penggunaan Obat Herpes De Nature atau Obat Dompo
 
Cara Penggunaan Obat Herpes De Nature atau Obat Dompo
 
Kelebihan Belanja Online Pada Kami :
  1. Setiap penyakit berbeda obatnya, (jadi obat kami khusus untuk penyakit itu sendiri)
  2. Ampuhnya terbukti bukan obat murahan
  3. Kualitas terbaik
  4. Tanpa perlu pergi ke dokter (tidak malu saat ke dokter, hemat waktu, dll)
  5. Tidak perlu disuntik
  6. Masa penyembuhannya 3-5 hari
  7. Barang dikirim ke alamat rumah Anda via TIKI, JNE, atau POS sesuai permintaan, dibungkus rapi dan RAHASIA TERJAMIN!
  8. Proses pengiriman cepat dan aman
  9. Paket obat sengaja kami buat polos agar tidak ada yang tau isinya apa, privasi anda lebih terjamin.
  10. Hanya kami yang selalu mengutamakan kepuasan konsumen
Segera hubungi kami untuk mendapatkan obat yang anda butuhkan untuk menyembuhkan penyakit anda. Semakin cepat anda mengobati, semakin cepat pula anda melepas penderitaan akibat penyakit.
 
“Bulatkan tekad bahwa anda harus sembuh agar dapat menikmati hidup yang indah seperti orang lain”
 
PEMESANAN OBAT HUBUNGI
 
SMS/TELP : 081215407069
WhatsApp : 081215407069
 
Demikian Artikel : Cara Penggunaan Obat Herpes De Nature atau Obat Dompo
 
Penulusuran Terkait : Harga Obat Herpes De Nature atau Obat Dompo, Cara Penggunaan Obat Herpes De Nature atau Obat Dompo, Testimoni Obat Herpes De Nature atau Obat Dompo, Produk De Nature untuk Mengobati Herpes atau Dompo, Khasiat Obat Herpes De Nature atau Obat Dompo, Apotik Obat Herpes De Nature atau Obat Dompo, Agen Resmi Penjual Obat De Nature.
This website was created for free with Own-Free-Website.com. Would you also like to have your own website?
Sign up for free